18918841678
ARTICLE

技术文章

当前位置:首页技术文章可定制褶皱图案水凝胶 - 纤维膜复合支架的制备与伤口愈合应用

可定制褶皱图案水凝胶 - 纤维膜复合支架的制备与伤口愈合应用

更新时间:2026-01-21点击次数:10





bj.96<a class=

近日,一项发表于《Small》的研究“Construction of Customizable Wrinkle-Patterned Hydrogel/Fibrous Membrane Composites for Wound Healing"取得了重要进展——东华大学研究团队成功开发出一种具有可定制褶皱图案的水凝胶/纤维膜复合材料(HFM),通过协同增强的力学性能与梯度固定化的干细胞趋化因子,为烧伤创面愈合提供了一种创新性敷料方案。



一、研究背景


烧伤创面愈合是临床护理中最复杂和棘手的难题之一,常伴随大量体液流失、病理生理紊乱和修复过程漫长。传统的高含水量水凝胶敷料虽能提供湿润环境,但普遍存在拉伸性差、机械强度不足、被动愈合效率有限等问题,难以适应关节等大变形部位的动态伤口。同时,现有治疗策略缺乏主动引导组织再生的能力。因此,开发兼具优异力学性能与主动修复功能的新型敷料至关重要。



二、研究思路


团队灵感源自天然皮肤的层状结构与弹性特性,通过掩模辅助光交联调控水凝胶模量的空间分布,并结合弹性基底预拉伸释放策略,成功制备出可定制褶皱图案的水凝胶/纤维膜(HFM)复合材料。该设计核心在于:选用明胶甲基丙烯酰酯(GelMA)与聚乙烯醇(PVA)构建水凝胶网络,搭配聚脲(PU聚甲基氢硅氧烷(PMHS)纤维膜作为弹性基底,通过预拉伸释放产生的压缩应力诱导褶皱结构,显著提升材料拉伸性能(断裂伸长率 > 400%);引入单宁酸(TA)通过C=C键、疏水作用等多重相互作用,强化水凝胶与纤维膜的界面黏附,并构建致密网络增强力学稳定性;通过硫醇-烯点击反应实现了基质细胞衍生因子SDF1α)的梯度固定化,利用其化学趋化作用定向招募内源性干细胞,同时通过RNA测序证实该复合材料可抑制IL-17等炎症信号通路,减轻创面炎症反应。体内深二度烧伤模型验证显示,该复合敷料能加速创面闭合、促进胶原有序沉积,为烧伤创面修复提供了结构-功能一体化的新型解决方案。

图片

可定制褶皱型SDF1α/HFM-TA复合材料的制备及应用示意图



三、读懂核心机制与实验结果


01

褶皱型 HFM 复合材料的制备与结构表征

图片

1 围绕材料关键制备条件与结构特性展开验证:图aSEM图像显示4wt% PMHS修饰的PU纤维膜呈随机取向非织造结构,图b的水接触角数据证实其疏水性能优异,可抵御水凝胶前驱体渗透;图c的循环拉伸曲线表明纤维膜具备良好的弹性恢复性;图eSEM图像直观呈现不同 UV 照射时间对褶皱形成的影响,10min照射组形成连续平行褶皱,而15min组出现分层;图 hiXPS图谱证实TA与水凝胶形成交联网络,新出现的π-π*卫星峰验证了TA的成功引入,这些结果共同保障了复合材料的结构完整性与后续功能实现。

02

HFM-TA 复合材料的界面黏附与力学性能评估

图片

2通过定量测试与直观演示,全面展示了复合敷料较优的力学性能:图 a-d 的剥离实验表明,经单宁酸(TA)改性后,复合材料的界面粘附力显著增强,且在过氧化氢处理后界面可重构,粘附力恢复至初始的5.4倍,体现了其可修复性;图e阐释了TA通过多重氢键等作用增强界面结合的机理;图f-h的拉伸测试显示,褶皱结构使水凝胶的拉伸率提升至352%,而TA进一步强化的复合材料(HFM-TA)实现了>400%的断裂伸长率、1.2 MPa的拉伸强度和2.7 MJ m⁻³的韧性;图i-k通过循环拉伸测试及在手指关节上的演示,证实了该敷料在大变形下优异的形状恢复能力和能量耗散特性,满足动态伤口的使用需求。

03

SDF1α 梯度固定化与干细胞迁移能力验证

图片

3聚焦复合材料的生物功能验证:图aLSCM图像与荧光强度曲线证实SDF1α中间-双侧梯度分布,为干细胞定向迁移提供信号基础;图bc的活死染色与细胞活力数据显示,复合材料提取物培养的间充质干细胞(MSCs)活力>98%,证实其生物相容性优异;图de的划痕实验和图fgTranswell实验结果显示,SDF1α修饰组的干细胞迁移面积与迁移数量显著高于未修饰组,直接印证SDF1α对干细胞的定向招募作用,为材料的体内修复效能提供了体外数据支撑。

04

体内烧伤创面愈合效果评估

图片

4通过动物实验直观呈现复合材料的创面修复优势:图a的大鼠创面宏观图像显示,术后12SDF1α/wrinkled HFM-TA组创面基本能够闭合,而3M Tegaderm膜组与未负载SDF1αHFM-TA 组仍有明显创面;图b的创面面积轨迹与图c的收缩率数据量化显示,SDF1α修饰组的创面收缩速度显著更快,12天创面收缩率显著高于其他两组,这些体内数据直接证实该复合材料能有效加速深二度烧伤创面闭合,凸显其临床应用潜力。

05

创面组织学与免疫组织化学评估

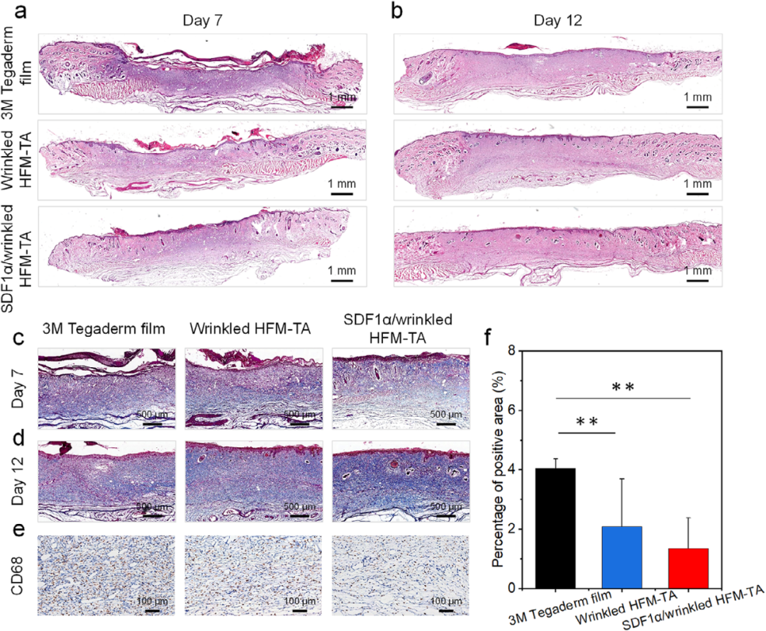
图片

5从组织微观结构与炎症反应层面深化验证修复效果:图abH&E染色显示,SDF1α/wrinkled HFM-TA 组创面间隙更小,组织再生更充分;图 cMasson染色表明,该组胶原纤维沉积更致密、排列更规整,利于创面组织重塑;图efCD68染色(巨噬细胞标志物)显示,SDF1α修饰组的炎症细胞浸润显著减少,证实其能有效减轻创面炎症反应,这些组织学结果从结构修复与炎症调控两方面,揭示了复合材料促进创面愈合的内在机制。

06

RNA-seq 转录组分析结果

图片

6从分子机制层面解析复合材料的抗炎修复机理:图a的火山图显示,SDF1α/wrinkled HFM-TA 组相较于未修饰组,有 363 个基因下调、84 个基因上调;图bcKEGG 富集分析表明,免疫相关信号通路(如细胞因子 细胞因子受体相互作用、IL-17 通路)显著下调;图 的 IL-17 通路热图进一步证实,Ccl11Cxcl10 等炎症相关基因表达水平显著降低,这些转录组数据明确了复合材料通过抑制炎症通路、调控免疫反应促进创面愈合的分子机制,为其修复效能提供了深度理论支撑。



四、总结


本研究开发了一种面向烧伤修复的智能褶皱复合敷料,其核心优势如下:

力学自适应:通过可定制褶皱结构设计,材料具备超高拉伸性(>400%)与形状记忆能力,贴合动态伤口。

主动促修复:利用光控梯度固定SDF1α,主动引导内源性干细胞定向迁移至创面,变被动覆盖为主动再生。

多效协同:天然多酚TA同时增强材料力学强度与界面粘附,并与SDF1α协同调控免疫微环境,有效抑制过度炎症。

安全可转化:基于生物相容性材料构建,体外体内实验均证实其安全性与显著促愈合效果,具有明确的临床转化潜力。

该敷料实现了力学适配、生物主动与免疫调控的一体化集成,为难愈性创面治疗提供了创新策略。

(声明:以上仅作知识共享与传播,我们尊重原创内容,尽可能注明来源。如果本文中有任何内容侵犯了您的版权,请告知我们,我们将尽快予以删除。)

返回列表
  • 联系地址

    上海市徐汇区银都路466号聚科生物园1号楼303室
  • 联系邮箱

    kunmsales006@163.com
  • 联系电话

    021-51216810
  • 联系QQ

    550138389

版权所有©2026 上海昆盟生物科技有限公司   备案号:沪ICP备19032849号-2

技术支持:化工仪器网  管理登陆  sitemap.xml